WAKE UP! A Neural Basis of Enlightenment?
It is sometimes said that the purpose of the Japanese arts that have the suffix ‘Do’, is to improve the character of the practitioner (which is amusing since some of the most unpleasant, duplicitous and Machiavellian people I’ve ever had the displeasure of having to deal with can be found in Budo- but anyway….) These arts include sado (way of tea), shodo (way of calligraphy), Kyudo, Iaido, etc…you get the idea. It is sometimes suggested that in fact ,the ultimate aim of these arts is to show us the ‘true nature of ourselves’ properly termed ‘kensho’ or enlightenment. Kensho is usually a multistage series of ‘awakenings’ to one’s true nature the first being ’entering the gates of non-dualism’ the fundamental realisation, to one’s very marrow, that there is no ‘I’ or ‘we’ and that we are inseparable from everything else. It’s one thing to intellectually understand the folly of dualistic-thinking but it’s another to truly ‘get it’. The most common way of shaking off our dualistic thinking it through some sort of meditative activity ranging from formal seated meditation to the repetitive movements of the various arts I mentioned. Engaging in intense, repetitive and absorbing acts, regularly and frequently, increases the probability of experiencing an awakening. It is rather like these arts turn us into a lightning conductor potentially attracting the lightning of kensho, bu,t not necessarily guaranteeing it. In continuous, purposeful practice of Iai kata for example, one enters ‘Samadhi’ or meditative absorption, that point where one is so absorbed in the act as to become inseparable from it. We’ve all experience this when we’ve been doing a jigsaw puzzle, painting a house or performing Sanpogiri for the 46th time.
When one is in a state of samadhi, a sudden shocking stimulus such as, someone shouting your name, being whacked with a keisaku (the infamous 'Zen stick'), the crashing of a wave on rocks, shatter’s this state and can bring you to the realisation of “Ah, this is what it is!” You gain a fundamental and visceral understanding of your true nature! All these ‘Zen arts’ are about setting up that situation in the hope you will be ‘struck by lightning of kensho’!
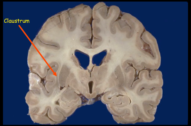
When I was teaching a neuroanatomy class, I used to love slicing a brain in a coronal section with a big brain knife and pointing out the innocuous claustrum to the students around the slab.
The claustrum. This small piece of greymatter is sandwiched between two tracts of white matter (the brain's wiring), the external and extreme capsule. It appears very insignificant but it clearly is not.
I would add, for dramatic effect, "This is where your very soul resides!"which always grabbed their attention and then I would further explain that Francis Crick (of DNA fame) spent his last few years trying to pinpoint the neural correlates of consciousness. He and his team of scientists in the Crick Institute came to the conclusion that the claustrum was the area of the brain that coordinated the activities that led to consciousness. The claustrum connects to every other part of the brain and every other part of the brain connects to it, so this tiny sliver of grey matter is clearly doing something very important (the reticular formation of the tegmentum (floor) of the brainstem is very similarly well-connected but for various reasons it is not thought to be the centre of coordination of consciousness).
One pleasant, sunny afternoon I was reading a paper about the reported effects of ingesting psychedelic compounds. One of the things the consumers of these substances sometimes reported was a “feeling that they were one with everything and everyone. They were connected to the whole universe!” This really grabbed my attention because it sounded like the reports I'd read of those who had attained the first level of kensho! Had I found a basis for chemical kensho? I searched for more papers on the subject and found one where the researchers had given controlled doses of psychedelics to participants (great work if you can get it) and then perform functional magnetic resonance imaging of their brains to see which parts of the brain were active – what was producing the effects of kensho!
To my surprise what the paper reported was that in the participants reporting these feelings of oneness, the claustrum was in fact deactivated, turned off! The more profound the feeling the greater the deactivation. The experience of ‘enlightenment’ produced by psychedelics and by inference, by meditative activities such as Iaido, sado, shodo, kyudo is produced by the deactivation of the claustrum, the area of the brain that coordinates consciousness and thus produces the perception of ‘I’/'we'! Eureka! I was very excited indeed. I had made the association between chemical kensho and neuronal activity and stumbled upon the part of the brain that is deactivated in enlightenment. I was staring into the brain of Buddha himself!
I contacted my Rinzai Zen teacher when it was a reasonable hour to do so in his country and discussed my findings. He paused for thought for a second before shattering me with, "That is very interesting but you have made a fundamental mistake in your understanding. In true kensho there is no sense of I/we, thus one cannot experience a feeling of 'oneness' since a feeling of oneness requires an 'I' " He had pointed out what I had been missing and I realised psychedelics were not producing kensho in some people, just a warm, pleasant delusional state.
However, other activities can lead to kensho...





Comments
Post a Comment